Before & After

Interactive sliders showing real Toothworx results.

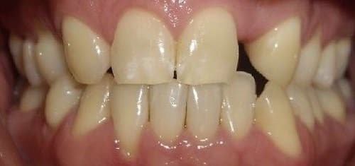
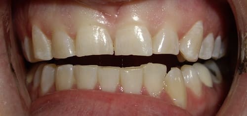
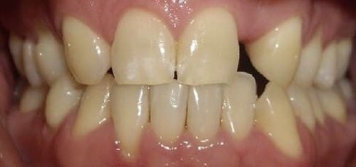
Crowns & Bonding
Before crowns and bonding After crowns and bonding
Dental Implants & Invisalign
Before implants and aligners After implants and aligners
Whitening & Contouring
Before whitening and contouring After whitening and contouring

Explore More Treatments

See our preventive, cosmetic, and orthodontic services.

Go to Services page